Tụt nướu – nguyên nhân và cách điều trị khi tụt nướu

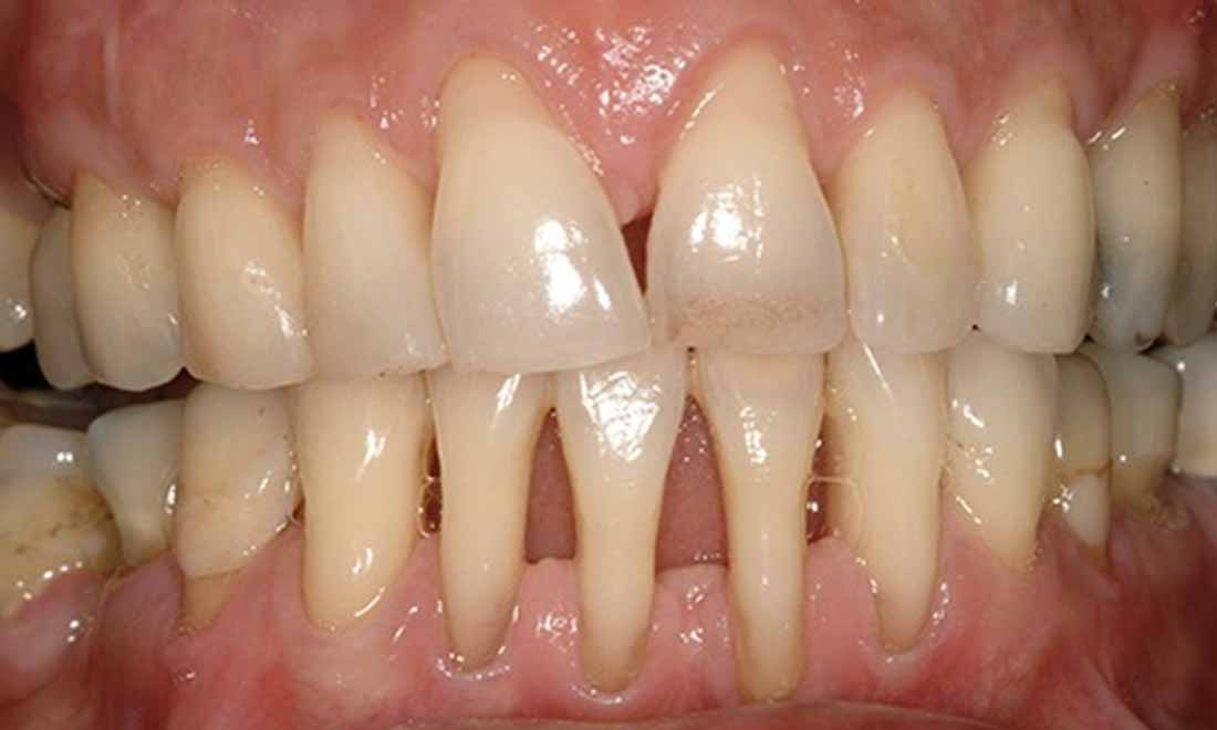
Tụt nướu là hiện tượng phần nướu bảo vệ chân răng di chuyển xuống cuống răng sâu phía dưới, khiến cho phần thân răng tại đây hở ra ngoài
Răng ở vị trí bất thường cũng có thể làm tụt nướu. Ở giai đoạn sớm bạn có thể ngăn chặn và giúp nướu hồi phục, nếu bệnh lý đã trở nên nghiêm trọng và có các triệu chứng như ê buốt răng, đau răng hoặc nhiễm trùng, khi đó cần phải thực hiện nhiều liệu trình điều trị như: làm sạch sâu chân răng, chống nhiễm trùng và ghép mô.
Tụt nướu là trường hợp thường thấy, nhưng mọi người thường không nhận ra cho tới khi tình trạng nghiêm trọng hơn.
Tụt nướu là gì?
Tụt nướu là hiện tượng phần nướu bảo vệ chân răng di chuyển xuống cuống răng sâu phía dưới, khiến cho phần thân răng tại đây hở ra ngoài. Tụt nướu có thể xảy ra ở một vài răng, một hàm hoặc cả hàm trên và dưới, đi kèm với nó là các triệu chứng chảy máu chân răng, sưng lợi, hôi miệng.
Tụt nướu có thể phân thành 2 loại:
- Tụt nướu nhìn thấy được: là phần nhìn thấy bằng mắt thường
- Tụt nướu không nhìn thấy được: là phần được che phủ bởi nướu và chỉ đo được bằng cây thăm dò quanh răng với vị trí bám dính của biểu mô.
Tụt nướu xảy ra sau khi mô bị tổn thương và mất đi. Làm lộ phần chân răng dễ tổn thương do vi khuẩn và cao răng, có thể dẫn đến sâu răng.

Nguyên nhân gây tụt nướu
- Chăm sóc răng miệng không kỹ và các bệnh nha chu là nguyên nhân chính gây tụt nướu. Tuy nhiên, người chăm sóc răng miệng kỹ vẫn có khả năng bị tụt nướu.
- Chấn thương do các tác động vật lý hoặc viêm nhiễm mô.
- Một số người có thể bị tụt nướu do yếu tố di truyền như: vị trí răng; độ dày của nướu.
- Chấn thương mô nướu do đánh răng quá mạnh hoặc sử dụng bàn chải có lông cứng cũng là các nguyên nhân thường gặp. Đánh răng quá mạnh khiến tổn thương nướu ngay cả khi chăm sóc răng miệng tốt.
- Trường hợp này thường ảnh hưởng phần miệng bên trái. Vì phần lớn người đánh răng, cầm bàn chải bằng tay phải và đặt nhiều lực hơn cho phần mô bên trái, tương tự, hai bên miệng sẽ bị ảnh hưởng nhiều hơn phần đằng trước.
- Các yếu tố khác có thể gây tụt nướu như đeo đồ trang trí trên môi hoặc lưỡi (xỏ khuyên môi, xỏ khuyên lưỡi); răng khấp khểnh; tổn thương trong quá trình điều trị răng.
Một số người có mô nhạy cảm hơn bình thường, mô nướu mỏng sẽ dễ bị viêm, nhiễm trùng khi hình thành cao răng. Hoặc do niềng răng bị tụt lợi.
Khi mảng bám tích tụ trên răng, nó có thể gây ra các vấn đề sau:
- Viêm nướu: trường hợp nhẹ gây chảy máu chân răng, có thể dẫn đến viêm nha chu.
- Viêm nha chu: tạo khoảng trống giữa nướu và răng, làm mất các sợi liên kết giữa xương và mô quanh răng khi bị nhiễm trùng.
Triệu chứng của tụt nướu
Nhiều người ở giai đoạn đầu có thể không nhận thấy sự khác biệt. Tuy nhiên, khi bị tụt nướu, họ có thể gặp những vấn đề sau:
- Lo ngại về vấn đề thẫm mỹ, khi răng có vẻ dài hơn và khoảng trống giữa răng to ra
- Lo sợ mất răng
- Nhạy cảm với nhiệt độ nóng lạnh hoặc do chân răng bị lộ quá nhiều
Quan trọng hơn, tụt nướu có thể là dấu hiệu của các vấn đề răng miệng khác như bệnh nha chu, tăng nguy cơ sâu răng và mất răng. Bệnh còn dẫn đến hơi thở nặng mùi và chảy máu chân răng.
Điều trị khi bị tụt nướu
Hầu hết các trường hợp tụt nướu nhẹ không cần điều trị. Nha sĩ có thể tư vấn cho bạn cách ngăn ngừa và theo dõi tình trạng của nướu. Đánh răng kỹ nhưng với lực vừa phải là cách hữu hiệu để ngăn ngừa sớm.
Đối với trường hợp cần phải điều trị, có một số phương án sau:
- Thuốc giảm nhạy cảm (Desensitizing), chất chống sâu răng (varnish), chất phục hồi men răng: Các sản phẩm trên có mục đích giảm độ nhạy cảm của chân răng bị lộ, giúp vệ sinh răng miệng dễ dàng hơn đối với những răng nhạy cảm.
- Trám răng: Nha sĩ sử dụng vật liệu trám có màu giống răng để che phủ bề mặt chân răng. Lớp trám cũng có thể che đi khoảng trống giữa răng.

- Dùng sứ hoặc nhựa hồng: Loại vật liệu này có màu hồng giống với nướu và có thể sử dụng để thay thế phần nướu đã mất.
- Lớp dán veneer tháo rời: lớp dán thường được làm từ acrylic hoặc silicone và có thể đắp lên vùng bị tụt nướu.
- Chỉnh nha (niềng răng): phương pháp này đưa răng về đúng vị trí qua thời gian dài. Giảm áp lực lên nướu và dễ dàng vệ sinh răng miệng hơn.
- Phẫu thuật: Có thể phẫu thuật ghép mô từ vị trí khác trong miệng. Mô sẽ hồi phục thay thế cho phần nướu bị tụt. Phương pháp này thường áp dụng cho trường hợp tụt nướu nghiêm trọng.
Chi phí điều trị tụt nướu
Tùy vào mức độ nghiêm trọng của tình trạng và phương pháp điều trị mà chi phí điều trị sẽ khác nhau. Tuy nhiên, nếu tình trạng tụt nướu ở giai đoạn sớm, bạn có thể ngăn tình trạng trở nên tệ hơn
=> Xem thêm bảng giá dịch vụ tại nha khoa Sài Gòn
Cách ngăn ngừa tụt nướu
Một số cách dưới đây sẽ giúp ban ngăn ngừ tình trạng tụt nướu
- Nếu bạn đánh răng quá mạnh hoặc sử dụng bàn chải có lông cứng, nên thay bằng bàn chải mềm và đánh răng vừa phải, đúng cách.
- Mảng bám răng tích tụ và cao răng có thể gây ra bệnh nha chu, vì vậy nên chăm sóc răng miệng kỹ và thăm khám cạo vôi răng định kỳ (6 tháng).
- Thăm khám nha sĩ nếu bạn đang lo lắng về tình trạng răng miệng.
Tìm hiểu thêm về dịch vụ bọc sứ thẩm mỹ tại nha khoa Sài Gòn
Điều trị tụt nướu tại Nha Khoa Sài Gòn – Yo’s Dental
Nha Khoa Sài Gòn tự hào với đội ngũ bác sĩ chuyên nghiệp, tay nghề cao, được đào tạo bài bản cùng với trang thiết bị hiện đại, phòng khám chuẩn vô trùng. Tất cả để mang lại cho quý khách hàng trải nghiệm dịch vụ tốt nhất, mang chuẩn quốc tế đến nụ cười Việt.

Nếu bạn có thắc mắc về tình trạng răng miệng và cần được tư vấn, vui lòng để lại thông tin hoặc đặt lịch hẹn để được các bác sĩ giải đáp.